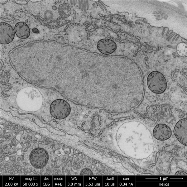
HPF/FS for C.elegans——细胞核、线粒体

High pressure freezing and freezing substitution for C.elegans——细胞核、线粒体
Courtesy of Xixia Li, Jianguo Zhang, Gang Ji, CBI, IBP, CAS, China
Image Details:
Instrument used: FEI Helios Nanolab 600i, Leica EM HPM100, Leica EM AFS2 ,Leica EM UC6
Accelerating voltage: 2 kV;
Magnification: 50000x ;
Current: 0.34 nA

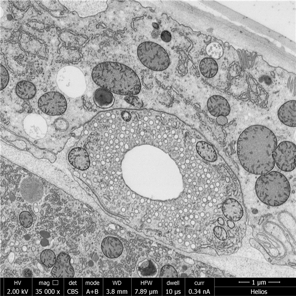
High pressure freezing and freezing substitution for C.elegans ——Excretory canal
Courtesy of Xixia Li, Jianguo Zhang, Gang Ji, CBI, IBP, CAS, China
Image Details:
Instrument used: FEI Helios Nanolab 600i, Leica EM HPM100, Leica EM AFS2 ,Leica EM UC6
Accelerating voltage: 2 kV;
Magnification: 35000x ;
Current: 0.34 nA

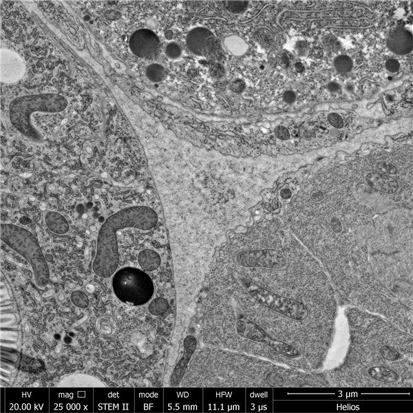
High pressure freezing and freezing substitution for C.elegans
Courtesy of Xixia Li, Jianguo Zhang, Gang Ji, CBI, IBP, CAS, China
Image Details:
Instrument used: FEI Helios Nanolab 600i, Leica EM HPM100, Leica EM AFS2 ,Leica EM UC6
Accelerating voltage: 2 kV;
Magnification: 25000x